[PR]

「歯科医院でしか受けられなかった
高効果ホワイトニングを自宅で…」

現役歯科医師が教える究極の自宅ケア
※先着200名様限定モニター募集あり※

十数年前から欧米では、最低限の身だしなみとしてとらえられ、 近年では日本国内でも需要が高まり続けている歯のホワイトニング。

人の印象を決定づける要素としても、
歯の白さは重要な役割を担っているといえます。

その感覚が日本人にも定着してきた表れとして…

自分の歯の白さに自信を持てず、
歯を白くしたいと考えている方は20~50代男女のおよそ9割を占めています。

それだけ自身の歯を白くしたいと考える方が多いのに対して、実際に歯科医院でのホワイトニング経験があるか?というアンケートに対しては…


「ない」と回答した方がおよそ9割。

日本でのホワイトニング人口の低さをものがたる結果となっています。

⇓これには、下記のような理由が考えられます。⇓

☑ 日本の歯科医院のホワイトニング導入率が40%程度と低いこと。(アメリカでは99%の歯科医院がホワイトニングを導入。)
☑ 歯科医院でおこなうホワイトニング(オフィスホワイトニング)費用が高額であること。
虫歯・歯周病がある人はオフィスホワイトニングが不可能であること。

いざオフィスホワイトニングを受けてみよう!と歯科医院に出向いても、

「かかりつけの歯医者ではホワイトニングを導入していなかった。」

「思っていた以上に費用がかかる上、定期的に通う必要があったのでやめた。」

「虫歯があり、まずはその治療から…と、ホワイトニングを断られてしまった。」

こんな経験をなさった方もいらっしゃるのではないでしょうか?

なにを隠そう、
実は筆者もそんな経験をしたひとりです。

職業柄(某出版社で記者をしています)、
初対面の方と比較的近い距離でお話させて頂く機会も多く、そろそろホワイトニングをしなければと思っていたのですが…


私の場合、費用面の不安+治療中の虫歯があり、
オフィスホワイトニングを受けることができませんでした。

そんな私が先日、タイミングよく現役の歯医者さんを取材させて頂く機会があり…。
その歯医者さんからある自宅ホワイトニングを教えて頂いたんです。

🗨「現役の歯科医師が開発した医薬部外品」
🗨「歯科医院と同等のホワイトニング効果」
🗨「痛みや口内負担もなく安全(子供でも使える)
🗨「費用はオフィスホワイトニングの5分の1」

これらの言葉に魅力を感じた私は、
その自宅ホワイトニングを試してみることにしました。すると…


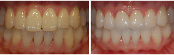
歯科医院に通うことなく、
わずか1ヵ月でここまで歯を白くすることができたのです。

歯を白くしたいと願う私たちは今、
オフィスホワイトニングに通う必要があるのか?

個人的な意見にはなりますが、
私の答えは間違いなくNOです。


今回は、日本でなかなか普及が進まないオフィスホワイトニングの問題点と、その反面で、
進化する自宅ホワイトニングについて、当時の取材内容と私の経験談を交えてご紹介していきたいと思います。

✔ これからホワイトニングをはじめたいと考えている方。
✔ オフィスホワイトニングに通っているが費用面の負担やその他のリスクが大きく、もっと良いホワイトニングはないか?探しているという方。
 etc…

歯のホワイトニングに関心がある方はぜひ最後まで読んでみてください。
※この記事は3分で読み終わります。

「白い歯のためにこんなリスクを…。」
意外と知らないホワイトニングの実態

まずはじめに、
オフィスホワイトニングと自宅ホワイトニングのいちばん大きな違いについてお話していきますね。

それはズバリ、
過酸化水素(別名・オキシドール)を使用するかしないか?という点です。

過酸化水素とは…

危険物第6類に分類されている化学物質。
酸化剤、殺菌剤、漂白剤として幅広い場所で使われる。

濃度が濃くなるほど殺菌力や漂白力は高くなるが、濃度の濃い過酸化水素が肌に触れるとヤケドをおこすこともあり、使用時には細心の注意が必要な物質でもある。

その高い漂白力から、アメリカなどでは市販のホワイトニング歯磨きにも少量の過酸化水素が配合されているものが多くあります。


しかし、日本では市販の歯磨きに過酸化水素を配合することは薬事法で禁止されており、
過酸化水素を使用したホワイトニングは歯科医院でしか受けることができません。


そして、過酸化水素は「危険物第6類」という分類がされていることでもわかるように、人体に大きな負担をもたらします。

実際にオフィスホワイトニングのリスクについて調べていくと…

❌ 口内をヤケドした
❌ 歯ぐきから出血した
❌ 知覚過敏になった

など、過酸化水素を使用することでおこる口内トラブルも多く見られました。

この内容に触れた時、
先日の歯科医師への取材内容を思い出したんです。

⇓⇓⇓

no-img2″>
 <figcaption class=
医師

「アメリカに対して日本の歯科医院のホワイトニング導入率が半分以下であることには、口内トラブルのリスクが高いということも一因となっています。」

no-img2″>
 <figcaption class=
筆者

「では、歯が真っ白な芸能人の方などは、そのリスクを承知の上でオフィスホワイトニングを受けているんですね。」

no-img2″>
 <figcaption class=
医師

「そうです。
ただ、芸能人の方が多く通うホワイトニング専門の歯科医院も存在します。
そういったホワイトニング専門医院は施術経験も多く、ホワイトニングの本場で治療していた医師もいるため、こういったトラブルがおきることは少ないでしょう。」

no-img2″>
 <figcaption class=
筆者

「なるほど。
でもそういう専門の歯医者さんって、費用が高いイメージがあります。そのあたりは実際どうなんでしょうか?」

no-img2″>
 <figcaption class=
医師

「察しが良いですね。その通りです。
相当な収入がある方でないと、継続的に通うことは難しいでしょう。
さらに、オフィスホワイトニングは2~3ヵ月に1回、継続的に治療を受けることで白さをキープしていくものなので、定期的に通えないと意味がないんです。」

口内トラブルのリスク+高額な費用

それらを負ってでも、
どうしても歯を白くしたいor歯が白くなくてはいけないという方以外は、今日本でオフィスホワイトニングを受けるメリットはあまりないのでは?というのが、取材させて頂いた医師の見解でした。

費用については私も思っていましたが、過酸化水素による口内トラブルのリスクも調べていくと想像以上のもの。
医師のこの見解には納得してしまいました。

今「歯を白くしたい」と願う日本人に
最も有効なホワイトニングとは?

過酸化水素を使用するオフィスホワイトニングのリスクについては、みなさんおわかりいただけたかと思います。

では、
「今、日本で安全かつ高い効果のホワイトニングを、低価格で受けることは不可能なの?」という疑問が出てきてしまいますよね。

⇒心配はいりません。可能です。

記事の前半で筆者自身が、
「ある自宅ホワイトニング」で歯を白くすることができたことをご紹介しました。


実はこの方法、
今までオフィスホワイトニングに通っていたモデルさんたちが、次々とこの方法にのりかえたことをカミングアウト。
SNSから一気に人気に火が付き…


某有名フリマサイトでの転売→売り切れが多発している超話題の方法だったんです。


この記事を書くためにリサーチを進める中で、
取材させていただいた歯科医師の先生に紹介してもらうまでこの方法を知らなかったことを、メディアの一端を担う記者のはしくれとして恥ずかしく思ったほど、その人気は圧倒的なものでした。

話題のその方法というのが、
現役の歯科医師が開発、過酸化水素を使用することなく歯科医院と同等のホワイトニング効果が得られることで人気の『ディノベートデンタルホワイトプロ』を使った自宅ホワイトニングです。


ディノベートのいちばんの特徴は、
現役の歯科医師が監修・開発し、歯科医院と同等のホワイトニング効果を厚生労働省に認められている医薬部外品であること。

ホワイトニングは単に歯を白くするだけではなく、人々の笑顔を素敵に輝かせるための、非常に大切なものだと私は考えています。
しかし、歯科医院で受けるホワイトニングは高額だという問題があります。価格が原因で、ホワイトニングを諦めている方がたくさんおられるのが現状です。
そこで、「低価格でもっと多くの方がホワイトニングできる方法はないか」と考え、自宅で続けられるディノベートデンタルホワイトプロを開発しました。

ディノベートは歯磨きタイプのホワイトニング剤ですので、使い方も簡単です。⇓⇓⇓



「ただの歯磨きで、本当に歯医者さんと同じ効果のホワイトニングができるの?」と、不安を持つ方もいらっしゃると思いますが…

実際にディノベートのホワイトニング効果に満足したという方はなんと93.6%。


辛口口コミサイト『@コスメ』でも★6以上、オーラルケア部門で第1位を獲得しています。


↑私自身もよく、化粧品や健康食品の評価を調べる為に閲覧している@コスメ。
ここまでの高評価はなかなか目にすることがなかったので正直驚きました。

@コスメ第1位!愛用者満足度93.6%!
筆者以外の方の口コミもご紹介します

筆者の体験だけではまだ信じられないという方に、
@コスメやホワイトニング比較サイトで見つけたディノベート愛用者の口コミもご紹介しておきますね。

1ヶ月でこの白さ!!もう手放せません!
京都府/28歳 会社員★★★★★
歯が白くなったことで同僚や友人たちから「スキンケア変えた?」とか「もしかして痩せた?」など、嬉しいリアクションが増えました!
密かにディノベートを続けているだけだったんですけどね(笑)みんな驚いていました。これからも続けていきます!

この値段で白くなるなんてビックリ!
東京都/36歳 会社員★★★★★
使用して1か月半です。このお値段でここまで白くなるなんてビックリ!口臭などのお口のトラブルも減って嬉しいです。
ずっと歯の汚さにコンプレックスがあり、人前で笑うことに抵抗がありましたが今では思いっきり笑えて、人間関係にも積極的になれています!

始めてよかったと心の底から思える!
福岡県/21歳 大学生★★★★★
ずっとコンプレックスだった歯の黄ばみ。 友人に教えてもらったディノベートで解決できました!!
学生で歯医者さんのホワイトニングなんてとても通えないので、ディノベートのコスパと効果には本当に助かっています。。買って良かった!と心の底から思える商品です!

みなさんとても満足されていますよね。
「歯の白さでその人の印象が変わる」ということを改めて感じる投稿が多くみられたのも印象的でした。


先ほどもお話した通り、
家庭用のホワイトニング剤には過酸化水素を使用することができません。

それなのに、なぜディノベートは
ここまで歯を白くすることができるか?

その理由は、
近年、過酸化水素の代替として歯科医院でも使用されている『ポリリン酸』という新成分+独自に2つの酸を組み合わせることで高められた、ホワイトニングキープ力にありました。

オフィスホワイトニングのデメリット
すべて払拭する新成分がすごい

ディノベートは現役歯科医師・小野澤彰医師が開発したホワイトニング歯磨きです。

小野澤先生が目指したのは、
「削らない」「シミない」「高くない」
という3つの要素を満たした自宅ホワイトニング。

そこで注目したのが、
『ポリリン酸』という新しいホワイトニング成分でした。

ポリリン酸の主な効果

✅ 歯の汚れを落とす
✅ 新たな汚れの付着を防ぐ
✅ 歯の白さを増す
✅ 口腔内を清潔に保つ etc

ポリリン酸は現在、
過酸化水素に替わるホワイトニング成分として、
歯科医師の中でも話題の成分だそう。

⇓⇓⇓

no-img2″>
 <figcaption class=
医師

近年では過酸化水素に替わるホワイトニング成分として、ポリリン酸が注目されています。
ホワイトニング効果だけでなく、使用した後には歯をコーティングし汚れから守る機能も持っている新成分です。

no-img2″>
 <figcaption class=
筆者

そんな成分があるんですね。
過酸化水素と比べて、口内への負担はどうなんでしょうか?

no-img2″>
 <figcaption class=
医師

口内への負担も極めて少ないのが、ポリリン酸のすごいところです。
ポリリン酸を使用したホワイトニングであれば、お子さんでも可能なほど安全性の高い成分です。

no-img2″>
 <figcaption class=
筆者

それは嬉しいですね。
高い安全性を持ちながら、過酸化水素を使用した場合と同じホワイトニング力があるということですか?

no-img2″>
 <figcaption class=
医師

ポリリン酸の場合、コーティング効果も含めてのホワイトニング力となるので純粋な比較は難しいところもあるのですが、ホワイトニングキープ力の高さは過酸化水素よりも高いです。
継続的に使用すれば、過酸化水素を使用するよりも効果的にホワイトニングできるといえます。


ディノベートはさらに、ポリリン酸にプラスして、『ピロリン酸』『DL-リンゴ酸』を独自に配合。

研究・開発に10年を費やしたというオリジナルの配合で、ポリリン酸の持つ従来のホワイトニング効果をさらに高めることに成功しています。


その効果は厚生労働省にも認められ、医薬部外品として認定されたホワイトニング歯磨きであるディノベート。


ここで改めて、
ディノベートでの自宅ホワイトニングとオフィスホワイトニングとを比較してみましょう。


違いは明確ですよね。

オフィスホワイトニングではNGとなる、
歯周病・虫歯、口臭もホワイトニングしながら予防できるのはディノベートならではの効果といえます。


ここまで読んでいただいたみなさんが、今いちばん気になっているのは価格ではないでしょうか?

ご安心ください、ディノベートなら驚きの低価格で高い効果のホワイトニングができるんです。

気になる価格も心配いりません
さらに今なら200名限定モニター募集中

開発者の小野澤先生がこだわったのが、効果と安全性に並んで価格。
「低価格でもっと多くの方がホワイトニングできる方法はないか」という部分も、しっかり叶えてくれているんです。


ディノベートは1個で約1ヵ月分です。
朝晩の2回使用したとして、かかる費用は1日約200円。

オフィスホワイトニングに通うとなれば、
2~3ヵ月に1回3~5万円かかることを考えると、
ディノベートは圧倒的なコストパフォーマンスといえます。

さらに今なら( )、
先着200名様限定、定価の85%OFF
900円でディノベートが手に入る
モニターキャンペーン中なんです!

⇓⇓⇓

↑リンク切れの場合はキャンペーンが終了しています。ご了承ください。

私が購入した時には開催していなかったキャンペーンで羨ましい限り。
ディノベートがこの価格で購入できるのは本当にお得だと思います。

ただしこのキャンペーン、
毎回開始から10日経たずに終了してしまうことがほとんどだそう。

少しでも興味をもっていただいた方には、早めのお申し込みがオススメです。

↑リンク切れの場合はキャンペーンが終了しています。ご了承ください。

人の印象を大きく左右する歯の白さ。
私自身もホワイトニングをはじめてから良い出会いも多く、もっと早くはじめておけばよかった…と思うことばかりです。

ホワイトニングに興味をお持ちのみなさんが、この記事をきっかけにキラキラの白い歯を手に入れていただけたら、物書きとしてとても嬉しいです。
最後まで読んでいただきありがとうございました!

企業情報 / 特定商取引法に基づく表示 / プライバシーポリシー

運営者情報